診療内容
一般歯科
他院で「抜歯」といわれてしまったケースでも、歯を残せる可能性があります。ぜひご相談ください。
審美歯科治療
審美歯科治療とは、通常の歯科治療(ムシ歯治療や歯周病治療)に「美」の視点をプラスした歯科治療です。
銀歯や変色歯を白くしたり、歯並びを綺麗にしたり、歯ぐきの色を美しいピンク色に改善するなど、健康的で美しい口元を作ることで、美しい笑顔を手に入れてみませんか?
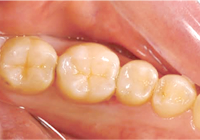
オールセラミックス1本 70,000円~

Ivoclar Vivadent社の「IPS e.maxプレス」を採用。
かぶせ物全体がセラミックでできているもので、見た目は最も天然の歯に近い自然な透明感があります。
メタルフリー(金属をまったく使わない)なので金属アレルギーにも安心です。
強度の面でも優れており、変色も起こりません。
ハイブリッドセラミックス1本 50,000円~

Kerr社の「プレミス インダイレクト」を採用。
ハイブリッドセラミックは、セラミックと樹脂のハイブリッド素材を使用し、主にクラウンやインレーなどに使用されます。
ハイブリッドセラミックスはセラミックよりも割れにくく、硬すぎないので周囲の歯を痛めにくいというのが特長です。
ダイレクトボンディング(MI治療)1カ所 20,000円~
歯の表面にハイブリッドセラミックスを直接(ダイレクト)に接着(ボンディング)させることにより、 歯を削る量を必要最小限にできます。 ムシ歯の治療だけでなく、歯と歯の間の隙間を埋めたり、歯の形や色を調節することもできます。 天然の歯に近い光沢や色を再現することができるため、ホワイトニングのように白く光沢のある歯にすることも可能です。 変色にも強いため、審美性の高い方法です。
フルジルコニア1本 80,000円~

ノーベルバイオケア社の「ノーベルプロセラ」を採用。
セラミックスの中で最も強度があるので、奥歯のかぶせ物にも使えます。
従来のジルコニアよりも透明感のある白いかぶせ物で、差し歯やブリッジにも適しています。
最先端のデジタル技術で精度が安定しているのが特徴です。
ファイバーコア1本 20,000円~

PENTRON社の「ファイバーコアポストシステム」を採用。
レジンコア(歯の土台)の強度を改善するために、コアの中にファイバーの支柱、芯を入れたものです。
さらにファイバーコアには、しなる性質がある(弾性係数が歯に近い)ので歯が割れる可能性が低くなります。
色も白色透明ですので、審美性が高くなります。素材にグラスファイバーを使用しているため、歯の変色や金属アレルギーの心配がありません。
入れ歯
ノンクラスプデンチャー(特殊入れ歯)1床 120,000円~

デンケン・ハイデンタル社の「バイオトーン」を採用。
見える部分には、金具を一切使わない部分入れ歯です。
弾性樹脂を使用していますので、柔らかく、大きく曲げても割れることがありません。
素材は歯ぐきと同じピンク色なので、装着していても目立ちにくいのが特徴です。
また、歯や骨を削る必要がないので、ブリッジやインプラント治療に抵抗のある方には最適です。



